
75岁的陈奶奶(化名)身体一向硬朗,每日清晨打太极拳是她雷打不动的习惯。然而,持续三个多月的右上腹隐痛打破了这份平静。7月30日在线配资开户官网,疼痛骤然加剧,家人将她紧急送往东莞市肝胆医院(南城医院)急诊科。
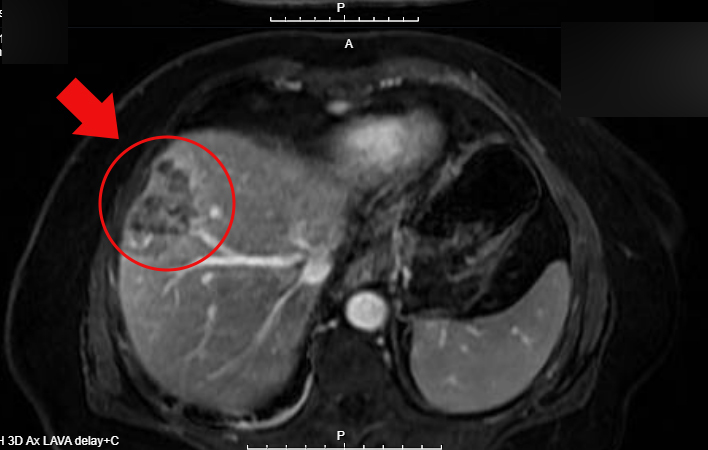
医院急诊科医生曾贤祥接诊后,立即为老人安排CT检查,影像提示肝脏占位性病变,高度怀疑肝脏肿瘤。患者随后转入外科病房,值班医生李嘉豪敏锐意识到病情复杂,为明确诊断,果断进行全腹增强CT检查。结果出乎意料:不仅肝脏有病灶,结肠部位也发现可疑占位。随后的肠镜及活检病理最终确诊——结肠有一个约2厘米的中分化腺癌。
一场与时间赛跑的生命救援就此展开。
多学科精准研判,量身定制根治方案
在检查过程中,医生发现:患者多年患有丙肝且未规范治疗,这不仅极大增加了肝脏癌变风险,也让诊断陷入迷雾:是结肠癌肝转移?丙肝相关肝癌伴结肠转移?还是双原发癌?
肿瘤性质直接决定治疗方向。
“若肝脏肿瘤是肠癌转移灶,其治疗策略和预后与原发肝癌完全不同。值得庆幸的是,肠癌肝转移患者的生存率通常优于原发肝癌。”外科副主任王海峰表示。
为制定最优方案,医院迅速启动多学科会诊(MDT),集结外科、影像科、肿瘤科、麻醉科等多学科专家深入探讨。
团队全面评估患者心、肺、脑、肾等重要脏器功能,综合研判各类检验指标。主管医生还陪同陈奶奶进行爬楼梯、数脉搏、测血压及“憋气”训练等术前适应锻炼,既增强了手术开展信心,也让患者和家属感到很贴心。
经全面评估并取得知情同意后,团队最终确定了以“一次性根治手术”为核心的综合治疗方案。
高难度微创联合手术,完整切除“深藏”病灶
8月4日,一场高难度的腹腔镜联合手术紧张有序地进行。
手术团队需同期完成“腹腔镜右半结肠切除术+肠系膜淋巴结清扫术+肝门淋巴结清扫术+肝第4、5、8段及第3段部分切除术+胆囊切除术”。
腹腔镜右半结肠癌根治术本身已是高难度手术,同期施行腹腔镜转移性肝癌(肝中叶)切除术,其技术难度呈指数级增加。同时,常规肝癌切除仅需处理单一肝断面,而肝中叶切除则需在同一术中处理多个解剖平面,进出肿瘤的管道系统复杂,肿瘤两侧还紧邻重要血管,需极大程度予以保护。
“要在不损伤周围血管、确保肿瘤不破裂、实现完整切除的前提下完成手术,对主刀团队的技术与心理素质、麻醉团队的生命支持能力以及患者全身状况都是极大考验。”有专家评价道。
手术有条不紊地持续。在完成腹腔镜右半结肠癌根治术后,团队对患者全身状态进行再次评估,确认生命体征平稳、情况良好,遂继续进行腹腔镜肝癌(肝中叶)切除术。
术中,团队运用腹腔镜超声、荧光腹腔镜及3D腹腔镜等先进技术精准划定切除范围,最终将病灶完整切除;术后,再次腹腔镜超声确认无肿瘤残留,肝脏血运良好,重要血管与胆管无损伤,止血彻底。
——手术圆满成功。
凭借精湛的技术与默契的配合,团队实现了结肠原发癌与肝转移瘤的一次性完整切除。术后病理证实了术前MDT判断:肝脏肿瘤同样为中分化腺癌,系结肠癌转移,最大直径达7厘米。
精湛医术获赞誉,患者康复展笑颜
“老人家腹痛时,我们还以为只是普通肠胃问题,根本没想到这么严重。”回顾就医历程,陈奶奶的家人仍心有余悸,同时对东莞市肝胆医院(南城医院)表达了深深的谢意:“原本以为这么复杂的病,至少要分两次手术,我们甚至做好了长期化疗的准备,没想到医院专家团队一次微创手术就解决了大问题!”
目前,陈奶奶恢复良好,即将逐步进入后续靶向治疗阶段。
本例高龄复杂结肠癌肝转移患者的微创根治手术,不仅充分展现了东莞市肝胆医院(南城医院)在多学科协作(MDT)模式下的技术整合与应急处置能力,也体现了微创外科在复杂恶性肿瘤治疗中的显著优势。此次手术的成功,也为该类患者提供了可借鉴的治疗新路径,成为医院专科能力建设和综合诊疗水平提升的重要里程碑。
2022年,医院增挂“东莞市肝胆医院”牌子,开启了肝胆胰胃肠肿瘤诊疗能力全面提升的新征程。经过三年全面建设,医院在医疗技术、人才引进和设备更新等方面取得稳步进展。以“头雁领飞”带动“群雁齐飞”,在医院肝胆专科建设征程中,一批批高水平专家络绎不绝前来“加盟”,推动了消化内科、泌尿外科、重症医学科、影像科等一批市内有影响力的学科壮大发展,海扶微无创医学中心、介入科、神经外科、肿瘤科等学科实现“填平补齐”,既为南城打造东莞“首善之区”筑起健康基底,也日益成为健康东莞建设的排头兵。
未来,医院将继续秉持“生命至上”原则,持续推进人才强院战略,依托更精准的诊断、更先进的技术和更人文的照护,为莞邑百姓筑牢生命健康防线,助力东莞医疗卫生事业迈向新高地。
【来源丨南方日报】在线配资开户官网
富华优配官网提示:文章来自网络,不代表本站观点。